Inicio Links Contáctenos
Uruguay 1112 Piso 1 dec@dec.com.ar
Cirugía Plástica Implantología Dental Medicina Estética Estética Dental Wellness
Estética Dental
Estética Dental

Gingivoplastías

Coronas revestidas en porcelana

Resinas de alto impacto

Porcelana pura

Reconstrucciones estéticas

Inscrustaciones estéticas

Blanqueamiento dental

Carillas y frentes estéticos

Implantes Oseointegrados

Aumentos óseos

Placas de relajación nocturnas

Estudios de Estrés Oclusal Computado

Microreconstrucciones óseas

Características

Pre-formado de bloques óseos inducidos in-vitro

Estética Dental

La estética dental  estará condicionada fuertemente a la presencia (o ausencia, parcial o total)  y estado de las piezas dentarias.
 
En consecuencia la Estética Dental deberá apuntar a dos áreas:
 
1- Con presencia de piezas dentarias*

2- Con ausencia de piezas dentarias*

*En una gran mayoría de los casos se da una situación combinada, o sea el desdentado parcial, quien conserva algunas de sus piezas, sufriendo la ausencia de otras.

1- Con presencia de dientes propios:
A edades avanzadas las piezas dentarias pueden tener las siguientes afecciones (a) y sus correspondientes soluciones(s):

(a) movilidad dentaria (enfermedad periodontal o "piorrea") - (s) acondicionamiento de los tejidos peridentarios, eliminación de bolsas en las encías, reconstrucciones óseas con osteoreproductores para generar aumento óseo, Gingivoplastías (plástica de encías con láser par mejorar contorno y forma de las encías), y en casos de extrema movilidad: extracción de la pieza y colocación de implantes de titanio acompañados de osteoreproductores, para mantener el volumen y contorno de los maxilares.

(a) obturaciones repetidas y caries recidivantes (dientes ya reparados en muchas oportunidades, con obturaciones cada vez más grandes, con el consiguiente debilitamiento del diente) (s) incrustaciones de metal semiprecioso (reconstruyen lo que falta del diente con bloque de distintos materiales realizados fuera de boca) o bien pernos para refuerzo del diente y coronas revestidas en porcelana, o resinas de alto impacto o bien de porcelana pura.

(a) desgaste y abrasión del diente por el paso del tiempo y/o por bruxismo (apretamiento nocivo de los dientes, muy común en situaciones de estrés (s)
reconstrucciones estéticas con composites reforzados, incrustaciones estéticas y  en casos extremos coronas de porcelana

(a) manchas y pigmentaciones originadas por tabaco, café, mate u otras infusiones, así como la coloración amarillenta que genera el paso del tiempo y la calcificación propia de la edad (s) cepillado mecánico llevado a cabo por el profesional y tratamientos de blanqueamiento dental utilizando agentes blanqueadores activados por distintas radiaciones lumínicas (láser, luz plasmática o halógena)

Los problemas de forma y posición no están relacionados con la edad, pero si están asociados se los soluciona además con carillas y frentes estéticos de resinas compuestas o de porcelana.

2- En ausencia de piezas dentarias, el problema de la estética se centra en la reposición dentaria que devolverá tanto la función, como la estética perdida.
Las prótesis convencionales son aplicables en estos casos, pero sin dudas lo ideal es la utilización de Implantes Oseointegrados que reponen la pieza dentaria perdida, sin afectar o desgastar dientes vecinos, preservando el volumen óseo remanente.
 A los fines estéticos se complementan los implantes con aumentos óseos a través de distintos osteoreproductores (hidroxiapatitas, huesos liofilizados, matriz ósea inorgánica y proteínas morfogenéticas). Esta “plástica ósea” puede realizarse en la zona circundante a los implantes, o bien en zonas vestibulares, para dar un mejor contorno facial, especialmente a nivel de labio superior. Esto también ayuda notablemente a mejorar los resultados de las cirugías plásticas y de los rellenos faciales y de labios, ya que mejora el plano de apoyo de los tejidos blandos.

Prevención:

-Evitar las pigmentaciones avanzadas, asistiendo dos veces al odontólogo para una remoción mecánica de los pigmentos superficiales
 
-Evitar los desgastes dentarios utilizando placas de relajación nocturnas cuando hay apretamiento o bruxismo. Realizar estudios de Estrés Oclusal Computado para detectar donde se localizan las tensiones más severas y nivelar la oclusión.

-Realizar microreconstrucciones óseas cuando los dientes empiezan a movilizarse por pérdida ósea

-Prevenir la pérdida ósea avanzada instalando Implantes Oseointegrados a tiempo, cuando los dientes comienzan a tener movilidad avanzada. (Uno de los grandes inconvenientes para devolver la estética facial en pacientes desdentados totales o frontales, a los cuales hay que realizar implantes, es la importante pérdida de hueso en los maxilares, ya que aún con los implantes firmes y en función, es difícil devolver el contorno facial perdido). Dejar hasta último momento dientes con avanzada movilidad genera una importante pérdida ósea, que se previene actuando a tiempo.

Tratamientos de última generación (todavía de aplicación no rutinaria)

- Micro-adamantino-laserpicking: es una especie de microfusión del esmalte con minerales de similares características al esmalte realizado a través de láser. Esteriliza, sella, da forma y color deseado al diente.

- Pre-formado de bloques óseos inducidos in-vitro, tomando células óseas del mismo paciente. Son autoinjertos para reconstrucciones óseas con múltiples aplicaciones.

Ejemplos de procedimientos Estéticos:

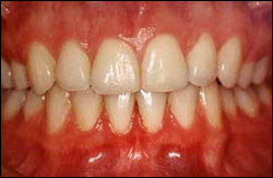
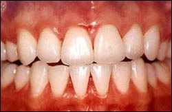
Carillas estéticas

Son una lámina de porcelana que se adhiere al diente con tecnología adhesiva, corrigiendo la coloración, forma y posición de los dientes. Asi logramos armonizar la línea de la sonrisa, y corregimos cualquier defecto para un mejor efecto visual.

 

Blanqueamientos

Tener una sonrisa clara y brillante rejuvenece y le da seguridad a su persona. Basado en una tecnica totalmente inofensiva para el esmalte de sus dientes, en solo una hora notará grandes cambios en todo su rostro. Exelente complemento de técnicas de rejuvenecimiento facial no invasivo.

Consulte al profesional especializado en Implantología:

Dr. Salvador B. Jaef
sjaef@dec.com.ar

Subir
Copyright © 2006 DEC Dental & Esthetic Center - All rights reserved Powered by abcontenidos®